
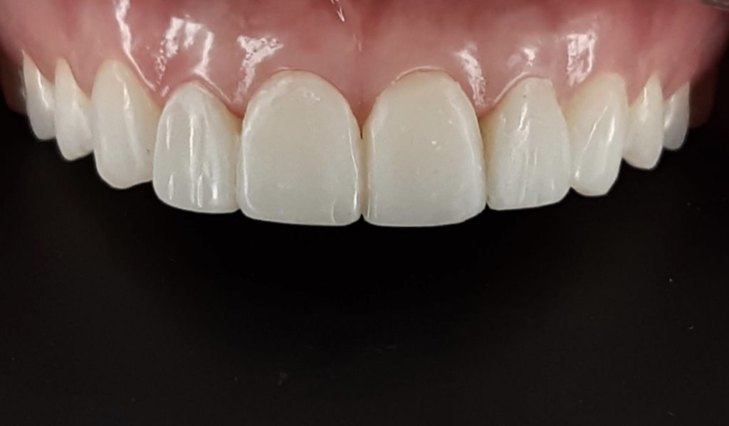
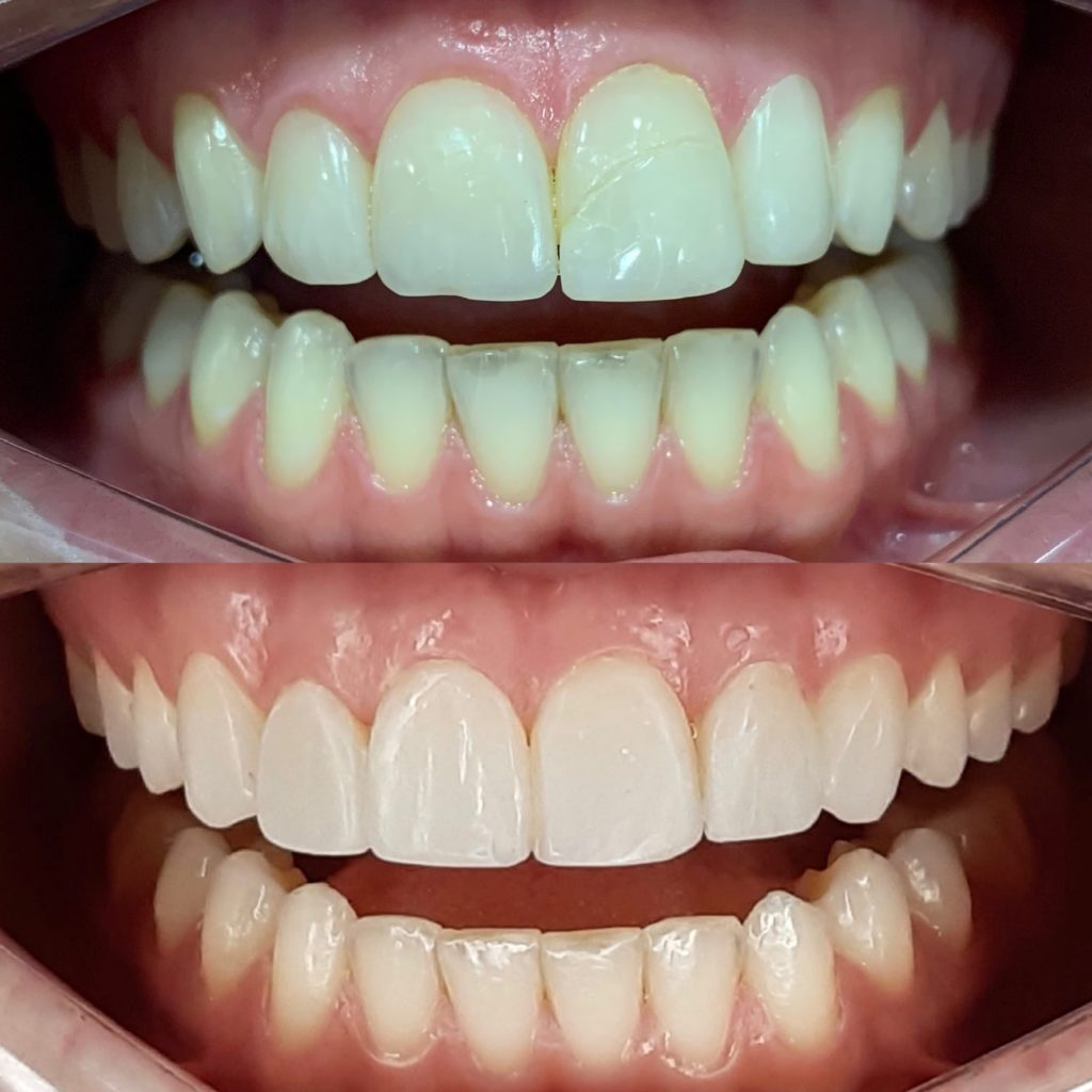
La Dra. Mariana Arocha Rothe es odontóloga, con Máster y PhD en odontología estética y restauradora. Luego de colaborar por varios años en prestigiosas clínicas en Madrid, ha inaugurado su clínica de alta estética dental y facial en el corazón de Málaga, en una esquina de la calle Larios. Algunos de los tratamientos que ofrece en su centro son: Diseños de sonrisa, carillas de composite, carillas de porcelana, blanqueamientos y armonización orofacial.
Además, ofrece facilidades de traslado para pacientes fuera de la provincia de Málaga. Atrévete a vivir la experiencia en la vibrante ciudad de Málaga y disfrutar de tu sonrisa en la Costa del Sol.

Alta Estética Dental y Facial en Málaga
En la Clínica Dra. Mariana Arocha Alta Estética Dental y Facial te ofrecemos los tratamientos de estética más avanzados que te van a permitir lograr que tu belleza y tu sonrisa se conviertan en el reflejo de tu verdadera felicidad.
Por qué elegir la Clínica Dental Dra. Mariana Arocha
El paciente es parte de la familia, e intentamos que se sienta a gusto desde el inicio, ofreciendo diversidad de atenciones y comodidades, tanto para los pacientes de España como de otras latitudes.
El tratamiento no culmina con la cita, sino que se hace un seguimiento continuo para verificar que el paciente esté conforme, así como obtener su valoración general sobre el procedimiento y las atenciones recibidas.

Sobre Nosotros
En la Clínica Dra. Mariana Arocha Alta Estética Dental y Facial el paciente es parte de la familia, e intentamos que se sienta a gusto desde el inicio, ofreciendo diversidad de atenciones y comodidades, tanto para los pacientes de España como de otras latitudes.
El tratamiento no culmina con la cita, si no que se hace un seguimiento posterior para verificar que el paciente se sienta a gusto y obtener su valoración general sobre el procedimiento y las atenciones recibidas.
TRATAMIENTOS
