
QUIÉNES SOMOS
Más de 25 años nos avalan
Situada en el centro de Barcelona, bien comunicada, ofrecemos una clínica dental de vanguardia dotada de la tecnología más avanzada en el ámbito de los tratamientos odontológicos: las últimas técnicas los mejores equipamientos, un equipo de profesionales altamente cualificado, expertos y formados internacionalmente en las diferentes disciplinas de la odontología moderna.
Ni el tratamiento más de moda ni el que todos los centros tienen como reclamo ni el más costoso. Institut Odontología Integral Barcelona (IOIB) tiene otras prioridades. La principal, la satisfacción del paciente, derivada de un asesoramiento profesional personalizado y de su capacidad para adecuar las soluciones terapéuticas a cada necesidad concreta, y la constante innovación, para mejorar los servicios y tratamientos.
Es primordial para nosotros que los pacientes reciban una excelente atención, tanto profesional como personal, en el mejor ambiente. Nuestra diferencia es la calidad.
Con mas de 25 años de experiencia, ofrecemos a los pacientes un trato personalizado, profesional y de calidad, con unos precios acordes a la situación actual. En el centro se realizan todos los tratamientos con las últimas técnicas y tecnología en cirugía mínimamente invasiva, en sedación, en implantología, en ortodoncia (ortodoncia invisible), en estética dental, periodoncia, endodoncia y prótesis.
Solicite una consulta con nosotros y descubrirá profesionalidad, excelente trato personal y tratamientos de calidad asequibles a todo el mundo, con posibilidad de financiación.
Póngase en contacto con nosotros y le informaremos sobre nuestros tratamientos, facilidades y ayudas.
Gracias por escogernos para su tratamiento y cuidado de su salud oral.
NUESTROS TRATAMIENTOS
-Implantes
-Periodoncia encías
-Ortodoncia
-Estética Dental
-Prótesis
-Caries
-Endodoncia
-Prevención e Higiene
-Ronquidos y Apneas
-Articulación Temporo Mandibular
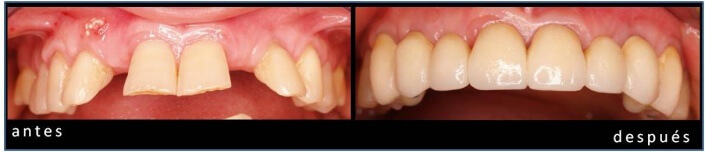
REHABILITACION MAXILAR SUPERIOR

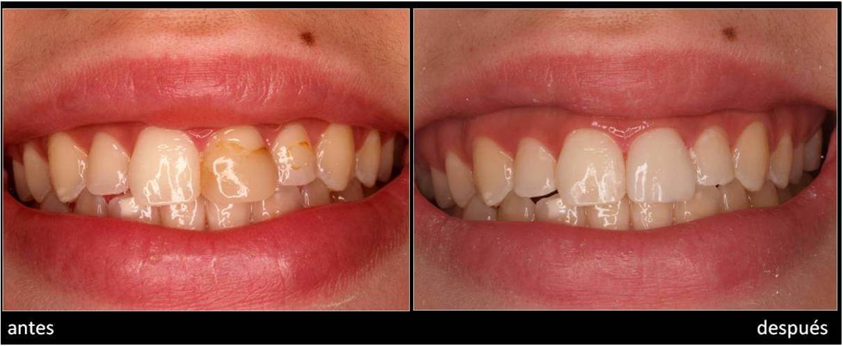
ESTÉTICA.INCISIVO CENTRAL SUPERIOR

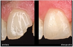
ESTÉTICA REPARACIÓN DE FRACTURA CON COMPOSITE

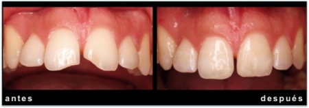
ESTÉTICA CON COMPOSITE.

IMPLANTE EN INCISIVO LATERAL SUPERIOR POR AGENESIA

ESTÉTICA DE INCISIVO CENTRAL SUPERIOR CON CORONA DE ZIRCONIO.

IMPLANTE EN INCISIVO CENTRAL SUPERIOR.

ESTÉTICA DE INCISIVOS CENTRALES CON COMPOSITE.

FRENTE ANTERIOR ESTÉTICO CON DOS IMPLANTES.


Para mayor información pinche aquí
